18 place 176 fresh

49 Kohler’s new shower reuses dirty water to get you clean

The Verge
Andrew Liszewski @ The Verge · today 11:17 EDT

Kohler’s new shower reuses dirty water to get you clean

Kohler claims its new Anthem EvoCycle smart shower system can deliver "up to 80% water savings" without the use of showerheads that limit flow or pressure. The system instead relies on a reservoir in the shower's base that collects used water and passes it through a filtration system before sending it back up through the […]

To see detailed statistics for the news please log in »

Read the original

Add your comment
You must be logged in with Facebook to read and write comments.

A newsletter a day!

You may get 10 most important news around midday in daily newsletter. Press the button and we will send you the most important news only, no spam attached.

or register

LIKE us on Facebook so you won't miss the most important news of the day!

News from the same source
The Verge The Verge
Business Insider
Lindsay Dodgson @ Business Insider 1 place · today 13:20 EDT

After painful lessons as a child star, JoJo Siwa is reclaiming her multimillion-dollar brand.

"Dance Moms" star JoJo Siwa opens up about growing up in the industry and reclaiming the multimillion-dollar bow empire she built as a child star. Read more

3,450 fresh

🔮
23.02.2026 ♒︎ Dear Aquarius, today you can expect a busy and multifaceted day filled with opportunities and... Read more ›
Business Insider
Brent D. Griffiths @ Business Insider 2 place · today 13:02 EDT

Sam Altman says concerns of ChatGPT's energy use are overblown: 'It also takes a lot of energy to train a human'

"It takes, like, 20 years of life, and all of the food you eat during that time before you get smart," Sam Altman said. Read more

3,366 fresh

Business Insider
Theron Mohamed @ Business Insider 3 place · today 12:55 EDT

A data center boss hit back at AI skeptics like Michael Burry and Jim Chanos with a nod to 'Superman'

HIVE's Frank Holmes said on an earnings webcast that negativity around AI reminded him of Lex Luthor's army of keyboard-bashing monkeys in "Superman." Read more

1,995 fresh

Engadget
Kris Holt @ Engadget 1 place · today 12:51 EDT

Ball x Pit will land on iOS and Android on March 12

Ball x Pit, a delightful roguelite that was one of our favorite games of last year, is on the way to mobile devices. The chaotic brick-breaking action is coming to iOS and Android on March 12. There will be a free trial with no ads, and you can unlock the full game with an in-app purchase. This is Ball x Pit “for your pants pocket,” according to the latest trailer.... Read more

1,920 fresh

Slashdot
msmash @ Slashdot 1 place · today 13:10 EDT

Anthropic Accuses Chinese Companies of Siphoning Data From Claude

U.S. artificial-intelligence startup Anthropic said three Chinese AI companies set up more than 24,000 fraudulent accounts with its Claude AI model to help their own systems catch up. From a report: The three companies -- DeepSeek, Moonshot AI and MiniMax -- prompted Claude more than 16 million times, siphoning information from Anthropic's system to train and improve their own products, Anthropic said in a blog post Monday. Earlier this month,... Read more

1,913 fresh

Business Insider
Hannah Logan @ Business Insider · today 13:21 EDT

I've been to 27 Greek islands. There are 3 I'd return to in a heartbeat — and 2 I'd leave off my itinerary next time.

As a full-time travel writer who's visited 27 Greek islands, I think Symi and Milos are two of the best to visit. However, I'd skip visiting Mykonos. Read more

1,893 fresh

Habr
Kurt @ Habr 1 place · today 13:04 EDT

Что день грядущий нам готовит: Агентные системы, платформы, AgentOS или ничего не поменяется?

Автономные агенты вроде опенсорсного OpenClaw или закрытого Manus сейчас прям хайпуют. Мало ещё кто разобрался, что это и зачем, но все уже эксперты: обзоры ради обзоров, без понимания предметной области, ради трафика на горячем заголовке. Честно говоря, на волне этого блогерского хайпа я лично долго откладывал взять и попробовать, а попробовав, - не могу оторваться, чего и вам желаю.Я, по сути, этой статьёй предлагаю немного поразмышлять о том, куда нас... Read more

1,562 fresh

Android Authority
Ryan McNeal @ Android Authority 1 place · today 13:30 EDT

Google TV is getting stuck in a search loop thanks to Gemini

Gemini integration on Google TV is triggering an infinite search loop for some. Read more

1,117 fresh

Slashdot
msmash @ Slashdot 2 place · today 12:25 EDT

Say Goodbye to the Undersea Cable That Made the Global Internet Possible

The first fiber-optic cable ever laid across an ocean -- TAT-8, a nearly 6,000-kilometer line between the United States, United Kingdom, and France that carried its first traffic on December 14, 1988 -- is now being pulled off the Atlantic seabed after more than two decades of sitting dormant, bound for recycling in South Africa. Subsea Environmental Services, one of only three companies in the world whose entire business is... Read more

1,081 fresh

Wired
Molly Taft @ Wired 1 place · today 11:35 EDT

The US Had a Big Battery Boom Last Year

Despite Donald Trump's unrelenting attacks on renewable energy, there's a quiet revolution happening on US grids. Read more

937 fresh

Vox
Ian Millhiser @ Vox 1 place · today 06:45 EDT

The Supreme Court will decide if marijuana users may be barred from owning guns

On March 2, the justices will hear their second major Second Amendment case of the Supreme Court’s current term. United States v. Hemani asks whether Congress may make it a crime for an “unlawful user” of marijuana to possess a gun. If you are a lawyer trying to guess how the Court will rule in […] Read more

848 fresh

Business Insider
Kelly Burch @ Business Insider · today 11:38 EDT

I'm an American sheltering in place in Puerto Vallarta. I'm not scared, but I'm sad for the locals losing their wages.

Linda Armijo has been spending time in Puerto Vallarta for the past 25 years. She's never felt afraid, even with what's happening now in Mexico. Read more

807 fresh

Gizmodo
Gayoung Lee @ Gizmodo 2 place · today 11:45 EDT

2,000-Year-Old Skulls Reveal How Vietnam’s Early Influencers Dyed Their Teeth Pitch Black—For Life

The discovery presents some of the oldest physical evidence that tooth-blackening trends in Vietnam have stayed consistent for a very, very long time. Read more

806 fresh

Tom's Hardware
Tom's Hardware 1 place · today 06:00 EDT

User accidentally gains control of over 6,700 robot vacuums while tinkering with their own device to enable control with a PlayStation controller — security flaw reveals floor plans and live video feeds

An AI strategist used Claude Code to reverse engineer his robot vacuum and control it with a PlayStation controller, but it accidentally gave him control of thousands of similar devices spread all across the world. Read more

739 fresh

The Verge
Andrew Liszewski @ The Verge 1 place · today 12:31 EDT

The creators of Dark Sky have a new weather app that shares multiple predictions

After selling their popular weather app to Apple in March 2020, where some of its core features were incorporated into Apple Weather, the creators of Dark Sky have left Apple to create yet another alternative. Their new app, called Acme Weather, embraces the fact that forecasts will never be entirely accurate by providing both a […] Read more

739 fresh

Engadget
Jackson Chen @ Engadget 2 place · today 12:34 EDT

Lamborghini ditches plans for its all-electric supercar due to 'close to zero' buyer interest

Looks like we won't get to hear the powerful hum of an all-electric Lamborghini on the streets anytime soon. According to a report from The Sunday Times, Lamborghini has abandoned making a production version of the Lanzador EV concept, which was expected to hit the market in 2029. Stephen Winkelmann, chairman and CEO of Lamborghini, told The Sunday Times that there was "close to zero" interest from its customer base... Read more

693 fresh

Tom's Hardware
Tom's Hardware 2 place · today 10:06 EDT

Trump tariff turbulence risks handing TSMC a win over American chip manufacturers — prior exemptions for onshoring manufacturing may hinder the likes of Intel

The Trump Administrations' new sweeping tariffs for all American imports could end up hurting American companies and benefitting their international competition at the same time, thanks to existing tariff carve-outs and rising material costs for U.S. producers. Read more

629 fresh

Gizmodo
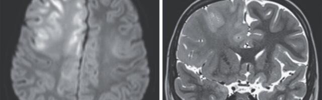
Ed Cara @ Gizmodo 3 place · today 12:30 EDT

This Is What a Brain Destroyed by Measles Looks Like

A new case report illustrates the deadly impact of subacute sclerosing panencephalitis, a rare complication of measles infection. Read more

625 fresh

The most popular news from the same source for the last week
The Verge The Verge
The Verge
Terrence O’Brien @ The Verge 2 place · 02/21/2026 11:55 EDT

Georgia says Elon Musk’s America PAC violated election law

For all his bluster about voter fraud, Elon Musk has been one of the most flagrant flaunters of US election law. Now his America PAC has been slapped with a reprimand by the Georgia State Election Board for sending out pre-filled absentee ballot applications. State law prohibits anyone, other than an authorized relative, from sending […] Read more

845

The Verge
Terrence O’Brien @ The Verge 2 place · 02/17/2026 08:00 EDT

Laurie Spiegel on the difference between algorithmic music and ‘AI’

In 1986, electronic music pioneer Laurie Spiegel created Music Mouse, a way for those with a Mac, Atari, or Amiga computer to dabble in algorithmic music creation. Music Mouse is deceptively simple: Notes are arranged on an XY grid, and you play it by moving a mouse around. Back in 1986, the computer mouse was […] Read more

452

The Verge
Terrence O’Brien @ The Verge · 02/22/2026 10:37 EDT

Trump says Netflix will ‘pay the consequences’ if it doesn’t fire Susan Rice

Donald Trump threatened that there would be "consequences" for Netflix if it didn't fire board member Susan Rice. Rice served in both the Obama and Biden administrations, and recently appeared on Preet Bharara's podcast, where she said corporations that "take a knee to Trump" are going to be "caught with more than their pants down. […] Read more

338

The Verge
Sean Hollister @ The Verge · 02/20/2026 15:30 EDT

Read Microsoft gaming CEO Asha Sharma’s first memo on the future of Xbox

Microsoft gaming boss Phil Spencer has just announced he's leaving the company after 12 years leading Xbox and nearly 40 at Microsoft in total. His replacement: Asha Sharma, formerly head of development for Microsoft's AI enterprise teams. Before that, she was COO of Instacart for three years, and spent four at Meta in charge of […] Read more

251

The Verge
Andrew J. Hawkins @ The Verge · 02/20/2026 14:52 EDT

America is at risk of becoming an automotive backwater

For decades, America's auto industry was the envy of the world, driven by mass production, the rise of Detroit's Big Three automakers, and the iconic stylings of the 1950s and '60s. Then, through a series of blunders and missteps, things started to unravel. There was the fuel crisis of the 1970s, which led to an […] Read more

147

The Verge
Emma Roth @ The Verge · 02/17/2026 10:30 EDT

Stephen Colbert says CBS banned him from airing this James Talarico interview

The Late Show host Stephen Colbert says CBS blocked him from broadcasting an interview with James Talarico, a Democratic representative from Texas. During his opening monologue on Monday night, Colbert says the network's lawyers told him in "no uncertain terms" that he couldn't have Talarico on the show, forcing him to post the interview on […] Read more

116

The Verge
Andrew J. Hawkins @ The Verge · 02/17/2026 11:00 EDT

Ford is fighting against physics to build affordable EVs

To say that Ford has struggled to make profitable electric vehicles would be an understatement. The company recently pulled the plug on its F-150 Lightning, a truck once heralded as the most important EV ever made, after taking a staggering $19.5 billion hit on its EV investments in 2025. A new focus on hybrids and […] Read more

102

The Verge
Emma Roth @ The Verge · 02/19/2026 17:32 EDT

A $10K+ bounty is waiting for anyone who can unplug Ring doorbells from Amazon’s cloud

With Ring facing fierce backlash over its Search Party feature, a new program is challenging developers to move Ring doorbell footage off of Amazon's cloud - and into users' own devices. The Fulu Foundation, the consumer advocacy group cofounded by YouTuber Louis Rossmann, is offering an initial bounty of $10,000 to anyone who can integrate […] Read more

91

The Verge
Stevie Bonifield @ The Verge · 02/18/2026 17:54 EDT

Meta is reportedly planning to launch a smartwatch this year

Meta is planning to launch a smartwatch with health tracking and AI features later this year, along with an updated version of its Meta Ray-Ban Display smart glasses, The Information reports. The smartwatch would arrive ahead of a pair of mixed reality glasses, code-named Phoenix, that Meta has reportedly delayed until 2027 amidst efforts to […] Read more

81

The Verge
Emma Roth @ The Verge · 02/17/2026 08:56 EDT

Warner Bros. Discovery gives Paramount one week to present its ‘best and final’ offer

After rejecting Paramount's latest acquisition bid, Warner Bros. Discovery says it's giving the David Ellison-led entertainment giant seven days to make its "best and final" proposal. Though WBD is reopening negotiations with Paramount, the company makes it clear in a press release that it still favors Netflix's $82.7 billion deal to purchase its studio and […] Read more

80

Most popular sources

  • You see 635 news out of 635.
  • Sources 61 out of 61.
Business Insider 43% 16
Gizmodo 11% 6
Vox 7% 6
Tom's Hardware 6% 19
Wired 5% 3
View sources »

LIKE us on Facebook so you won't miss the most important news of the day!

23.02.2026 13:55
Last update: 13:50 EDT.
News rating updated: 20:50.

What is Times42?

Times42 brings you the most popular news from tech news portals in real-time chart.
Read about us in FAQ section.


Times42 © 2026