173 place 0

875 Как мы проектируем и ставим импланты детям в виде божьих коровок, чтобы им лучше дышалось

Habr
GridnevaSvetlana (Белая Радуга) @ Habr · 11/17/2025 02:00 EDT

Как мы проектируем и ставим импланты детям в виде божьих коровок, чтобы им лучше дышалось

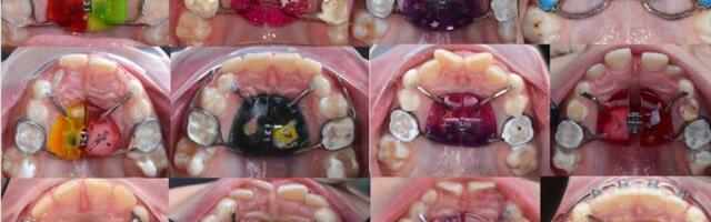
Дима может выбрать скин для своего импланта. Казалось бы, это совершенно бесполезно: все пластины должны быть просто металлическими. Но нет, дети обожают их рассматривать, хвастаются ими в школе и чувствуют себя гораздо безопаснее, когда выбирают сами. В итоге медицинский эффект от такого действия огромный: дети радуются пластинам (насколько это возможно) и чаще соглашаются на лечение.Такие пластины нужны, чтобы расширить верхнюю челюсть: у восьми из десяти детей, которых мы принимаем, она сужена. Это важно

To see detailed statistics for the news please log in »

Read the original

Add your comment
You must be logged in with Facebook to read and write comments.

A newsletter a day!

You may get 10 most important news around midday in daily newsletter. Press the button and we will send you the most important news only, no spam attached.

or register

LIKE us on Facebook so you won't miss the most important news of the day!

News from the same source
Habr Habr
Business Insider
Tim Paradis @ Business Insider 1 place · today 08:53 EDT

The risks of 'ghost vacationing' over the holidays

Ghost vacationing and quiet quitting on Slack during the holidays can harm trust, team morale, and long-term workplace relationships. Read more

943 fresh

🔮
27.12.2025 ♉︎ Horoscope for Taurus today: Today, your personal and emotional outlook is especially strong, and love... Read more ›
MacRumors
Hartley Charlton @ MacRumors 1 place · today 09:06 EDT

Apple Tested AirPods in Bright Colors

Apple reportedly tested a version of the first-generation AirPods with bright, iPhone 5c-like colored charging cases. The images, shared by the Apple leaker and prototype collector known as "Kosutami," claim to show first-generation AirPods prototypes with pink and yellow exterior casings. The interior of the charging case and the earbuds themselves remain white. They seem close to some of the color options offered for the ‌iPhone‌ 5c, which came in... Read more

923 fresh

Tom's Hardware
Tom's Hardware 1 place · today 09:32 EDT

Some Japanese shops start rationing GPUs — graphics cards with 16GB VRAM and up are becoming harder to find, says one store

Some Japanese computer stores are limiting GPU purchases because of supply uncertainty, especially for models with 16GB of VRAM and up. Read more

734 fresh

Tom's Hardware
Tom's Hardware 2 place · today 07:10 EDT

Nvidia GeForce RTX 5090 power wire reportedly caught fire despite using the original cable

We might be looking at literally the most cooked RTX 5090 yet, with a burnt power connector that has melted into itself, despite using a native 12V-2x6 cable on an ATX 3.1 certified PSU. The person smelled fire, saw it, and lived to tell the tale, all on Christmas eve. Read more

720 fresh

Business Insider
Erin McDowell @ Business Insider 2 place · today 08:41 EDT

The 6 biggest chain-restaurant food trends of 2025 — and 3 that won't survive 2026

From chicken tenders to value meal deals, these big food trends dominated chain restaurants in 2025, though we predict some will be out in 2026. Read more

551 fresh

Business Insider
Justine Lee @ Business Insider 3 place · today 10:02 EDT

I found a delicious, easy way to elevate store-bought ravioli. This 20-minute recipe is my new cozy weeknight go-to.

Ree Drummond's cacio e pepe ravioli recipe has just a few ingredients and comes together quickly. I tried it, and now, it's my favorite easy dinner. Read more

539 fresh

Business Insider
Natalie Musumeci @ Business Insider · today 06:00 EDT

Bankruptcies are exploding across the economy, hitting small businesses and households. Few industries are immune.

Bankruptcies are suddenly everywhere, from billion-dollar giants to small businesses to individuals. Experts are stumped at the breadth of industries. Read more

457 fresh

GSMArena.com
GSMArena.com 1 place · today 10:06 EDT

2025 Winners and losers: Google

Google's hardware division didn't have a particularly strong 2025, releasing new phones that didn't really stand out as particularly innovative. That's not the best strategy in any market, but it's particularly damaging in those outside the US where more makers are present. And, sure, Google isn't primarily a hardware company, but it makes phones, earbuds, and smartwatches every year and fails to make a meaningful market impact against the likes... Read more

376 fresh

Wired
Joel Khalili @ Wired 1 place · today 06:00 EDT

In Cryptoland, Memecoin Fever Gives Way to a Stablecoin Boom

In a year that began with a memecoin trading frenzy, stablecoins have emerged as the respectable face of the crypto industry. Read more

247 fresh

CNET
Andrew Lanxon @ CNET 1 place · today 08:01 EDT

I'm a Pro Photographer, and Here's How to Take Film Photos on an Analog Camera

This guide will help you get started with your film photography journey whether it's learning the right aperture to how to develop and scan film. Read more

243 fresh

Vox
Bryan Walsh @ Vox 1 place · today 08:30 EDT

The 2025 stories that prove people still run toward danger

One of my favorite books is Larissa MacFarquhar’s Strangers Drowning: Impossible Idealism, Drastic Choices, and the Urge to Help. The book is, in part, a study of people who take altruism so seriously it starts to look almost alien to the rest of us — the kind of people who donate to others the money […] Read more

217 fresh

The Verge
Jay Peters @ The Verge 1 place · today 08:00 EDT

8 great games for your Steam Deck from 2025

I played a lot of games on my Steam Deck this year. It seemed like there was a never-ending list of incredible indie games to try - The Verge wrote about a lot of them! - and many worked brilliantly on Valve's handheld gaming PC. Some bigger games made a splash on Steam Deck, too, […] Read more

208 fresh

TechRadar
TechRadar 1 place · today 07:00 EDT

True Detective season 5: everything we know so far about the hit HBO Max show's return

True Detective season 5 is officially on the way – here's everything we know about the hit HBO Max show's return. Read more

183 fresh

Business Insider
Veronica Thatcher @ Business Insider · today 07:27 EDT

I've worked at Costco for 20 years. Here are the 8 best things I bought there this year.

As a longtime employee, the Shark CryoGlow mask, Stagg bourbon, and Odessa lift-top vanity are some of the best things I bought at Costco this year. Read more

175 fresh

Business Insider
Maya Walsh-Little @ Business Insider · today 07:07 EDT

I moved to New York City and worried I'd be homesick. Then, my sister and best friend became my neighbors.

I worried about moving to New York City because I wouldn't be close to my family. Thankfully, my sister and best friend moved into the same complex. Read more

173 fresh

Business Insider
Pranav Dixit,Alex Nicoll,Melia Russell @ Business Insider · today 05:00 EDT

Immigration lawyers say the H-1B chaos is forcing tough business calls

H-1B visa policy shifts in 2025 cause firms to reconsider staffing, use alternative visas, and update HR travel guidance. Read more

154 fresh

The most popular news from the same source for the last week
Habr Habr
Habr
stas_dubich @ Habr 1 place · 12/25/2025 11:34 EDT

IT-2025: Реквием по здравому смыслу

Мы входили в эту реку дважды, трижды, бесконечное количество раз. Мы ждали 2025 год как рубеж, за которым наступит технологическая сингулярность, где рутина будет автоматизирована, а творчество возведено в абсолют. Писатели-фантасты и футурологи рисовали нам картины мира, где программист — это демиург, управляющий потоками данных силой мысли, а корпорации — это храмы эффективности.Реальность, как это часто бывает, оказалась куда более прозаичной и, что греха таить, гротескной. Вместо киберпанка мы получили. Read more

43

Habr
Grav @ Habr 1 place · 12/24/2025 02:47 EDT

Разговор о творчестве и дизайне

Привет, меня зовут Антон Григорьев. Мы с Дмитрием Ваницким поговорили о творчестве и дизайне, творчестве в дизайне, креативности в жизни продуктового дизайнера, дизайне творческого процесса, ну вы поняли.Немного о нас: я веду телеграм-каналы UX Notes и UX Work и работаю продуктовым дизайнером в европейской финтех-компании. Дмитрий ведёт канал VanillaTime, работает принципал-дизайнером в международной аутсорсинг-компании, а ещё — написал книгу «Ремесло счастья», посвящённую феномену счастья.В статье вы найдё Read more

24

Habr
SLY_G @ Habr 3 place · 12/22/2025 11:33 EDT

Вселенная наполнена всяким разным, куда бы мы ни заглянули. Несмотря на то, что большая часть Вселенной является «тёмной» в том смысле, что мы ещё не выяснили, как её непосредственно обнаружить — 95 % плотности космической энергии состоит из тёмной энергии и тёмной материи — оставшиеся 5 %, которые представлены различными формами материи и излучения, имеют огромное значение. Из них состоим мы, планеты, звезды и галактики, а также звёздный свет, плазма... Read more

21

Habr
kotnekod (Ростелеком) @ Habr 1 place · 12/25/2025 07:50 EDT

Кажется, что LLM способны полностью автоматизировать работу с кодовой базой так, как раньше нам и не снилось. Это звучит заманчиво, когда нужно портировать проект с одного языка на другой. Наверное, когда-нибудь это будет так, но пока есть нюансы и ограничения. Всем привет! Меня зовут Максим, и я работаю в ООО РТК ИТ руководителем направления в департаменте разработки и развития систем поддержки бизнеса (ОП ЮГ). В этой статье расскажу, как с... Read more

21

Habr
pilot_artem (Selectel) @ Habr 2 place · 12/24/2025 02:30 EDT

Не вертолет, не самолет: история советского Ка-22

С виду он напоминает самолет, у него внушительное крыло и фюзеляж от транспортника, но на концах крыла вращаются огромные несущие винты, как у вертолета.Такое впечатление, что природа не предполагала подобной машины. Это вообще летает? Вертолёт с крыльями? Самолет с пропеллерами над крылом?Ка-22 «Винтокрыл» обещал совместить лучшее из разных сфер авиации: вертолетную вертикальную взлёт‑посадку и самолетную скорость с дальностью полета. Казалось, это могло навсегда изменить все правила игры в транспортной ав Read more

16

Habr
Holmogorov (RUVDS.com) @ Habr 1 place · 12/21/2025 08:01 EDT

«Согдиана-1». История первого узбекского компьютера

«Согдиана» означает «очищенная огнём», «чистая», «святая» — когда-то так называли историческую область в Центральной Азии, в восточном междуречье Амударьи и Сырдарьи. Такое же имя получил и выпускавшийся в Узбекистане очень редкий компьютер, серийным производством которого занималось в конце 80-х Ташкентское предприятие «Алгоритм». Я обнаружил эту персоналку на всем известном сайте бесплатных объявлений, и тут же связался с её владельцем, который написал, что лично приобрёл этот компьютер в Ташкенте в 1989. Read more

13

Habr
OlegSivchenko @ Habr 2 place · 12/20/2025 12:21 EDT

Привет, Хабр.Одним из самых успешных переводов, опубликованных в уходящем году в этом блоге, стала статья «Что, если мы никогда не найдём тёмную материю?», которой я завершил февраль. Среди множества объяснений, почему тёмная материя остаётся «чёрным ящиком» астрономии, авторы предполагают, что она может быть заключена за горизонтами событий чёрных дыр — как огромных, так и совсем мелких, которые из-за своего малого или даже микроскопического размера до сих пор не обнаружены. Однако... Read more

7

Habr
Squirrelfm (Raft) @ Habr 3 place · 12/22/2025 08:05 EDT

Обзор состояния AI на 2025 год и прогнозы на будующее

Год почти прошел и пришло время сделать обзор State of AI на этот год и прогнозы на следующий. За основу были взяты отчеты ведущих организаций мира: MIT, PwC, OpenAi, Open Router и тп.В корпоративном ландшафте искусственного интеллекта наблюдается огромный разрыв: организации широко используют инструменты ИИ, но лишь немногие получают измеримую финансовую отдачу. Фактически 95% не получают ровным счетом ничего - дырку от бублика, несмотря на огромные вложенные деньги. Читать далее Read more

5

Habr
AmneziaLover (Amnezia VPN) @ Habr 3 place · 12/22/2025 12:45 EDT

Итоги «обходящего» 2025 года глазами VPN-сервиса

Привет! Это команда AmneziaVPN, и нам есть о чём вспомнить вместе с вами в уходящем 2025 году. Он стал временем непрерывной борьбы VPN-сервисов с цензорами, что привело к технической эволюции с обеих сторон.За этот год мы прошли через блокировки, шатдауны и новые вызовы. Каждый месяц приносил новые испытания, и они сделали нас сильнее. Практически весь год регуляторы сразу нескольких стран предпринимали разные действия для блокировки наших серверов, сигнатур протоколов, DNS-адресов,... Read more

5

Habr
dionisdimetor @ Habr 2 place · 12/25/2025 09:14 EDT

Золотое сечение – универсальная формула красоты и вселенской гармонии или маркетинговая уловка?

В мире есть вещи, от которых невозможно оторвать взгляд. Среди окружающего нас хаоса можно встретить удивительно гармоничные структуры, обладающие какой-то мистической притягательной силой. От закрутки спиральных рукавов галактики до расположения атомов в кристаллической решётке, от соотношения звеньев молекулы ДНК до ветвления кроны дерева, от строения оболочки вируса до пропорций человеческого тела – кажется, везде и сквозь всё проходит красной нитью некий основополагающий принцип. В чём же секрет вселенс Read more

5

Most popular sources

  • You see 327 news out of 327.
  • Sources 61 out of 61.
Gizmodo 31% 29
Business Insider 24% 10
Tom's Hardware 10% 17
Slashdot 6% 2
Android Authority 4% 2
View sources »

LIKE us on Facebook so you won't miss the most important news of the day!

27.12.2025 10:58
Last update: 10:50 EDT.
News rating updated: 17:50.

What is Times42?

Times42 brings you the most popular news from tech news portals in real-time chart.
Read about us in FAQ section.


Times42 © 2025