421 place 0

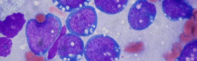
955 LIfT BioSciences is engineering the body’s oldest defenders to fight cancer

Tech.eu
Cate Lawrence @ Tech.eu · 10/07/2025 08:30 EDT

LIfT BioSciences is engineering the body’s oldest defenders to fight cancer

While there is a growing number of cancer-focused startups, the reality is that cancer is one of the most common diseases with a high fatality. While immunotherapies have transformed treatment for som...

To see detailed statistics for the news please log in »

Read the original

Add your comment
You must be logged in with Facebook to read and write comments.

A newsletter a day!

You may get 10 most important news around midday in daily newsletter. Press the button and we will send you the most important news only, no spam attached.

or register

LIKE us on Facebook so you won't miss the most important news of the day!

News from the same source
Tech.eu Tech.eu
Silicon Valley
George Avalos @ Silicon Valley 1 place · 02/07/2106 01:28 EDT

Newark apartment complex bought for much less than prior value

An East Bay apartment complex has been bought at a price that's well below its prior value. Read more

0

🔮
08.03.2026 ♏︎ Dear Scorpio, today offers you a balance between different aspects of life, with your friendship... Read more ›
Silicon Valley
George Avalos @ Silicon Valley 2 place · 02/07/2106 01:28 EDT

PG&E buys San Jose building to bolster South Bay operations

A PG&E Corp. unit has bought a San Jose building in a move to bolster the utility's South Bay operations. Read more

0

SlashGear
SlashGear 1 place · 03/07/2026 23:45 EDT

5 Cheap Home Depot Gift Ideas Anyone Can Use Year-Round

Finding the perfect present doesn't have to be expensive. Here are five universally useful gifts from the hardware store that everyone will love. Read more

0 newcommer

Slashdot
EditorDavid @ Slashdot 1 place · 03/07/2026 23:44 EDT

As US Tariffs Hit EVs, Hyundai Discontinues Its Cheapest IONIQ 6, While Kia Delays EV6 adn EV9 GT

First, Hyundai "is discontinuing its most affordable electric sedan after just three years on the market," reports USA Today. After being introduced in 2022, the Hyundai Ioniq 6 "quickly gained the admiration of automotive critics because of its affordable pricing and capable performance specs." But now, Hyundai "is axing the most affordable versions of the EV, leaving consumers with only one Ioniq 6 option." Hyundai will continue to produce the... Read more

0 newcommer

CNET
Gael Cooper @ CNET 1 place · 03/07/2026 23:09 EDT

Today's NYT Connections: Sports Edition Hints and Answers for March 8, #531

Here are hints and the answers for the NYT Connections: Sports Edition puzzle for March 8, No. 531. Read more

0 fresh

Silicon Canals
Tommy Baker @ Silicon Canals 1 place · 03/07/2026 23:08 EDT

I spent a year documenting which of my ideas got adopted in meetings and which got ignored, then re-presented by someone else minutes later. The variable was never the quality of the idea. It was always the pitch of my voice when I said it.

A year of tracking which ideas landed in meetings and which got recycled by someone else revealed a consistent pattern: the variable was never the quality of the idea, but the pitch and confidence of the voice delivering it. Read more

0 fresh

Silicon Canals
Tommy Baker @ Silicon Canals 2 place · 03/07/2026 23:00 EDT

I spent thirty years climbing the corporate ladder and retired at 64 with full benefits — and then sat in my den realizing that every promotion I celebrated was just another year I didn’t spend becoming someone I actually recognized

After four decades of building a successful electrical business and retiring with everything he thought he wanted, he discovered the hardest truth of his life while sitting alone in his den: he'd become a stranger to himself and everyone who mattered. Read more

0 fresh

CNET
Gael Cooper @ CNET 2 place · 03/07/2026 22:58 EDT

Today's NYT Mini Crossword Answers for Sunday, March 8

Here are the answers for The New York Times Mini Crossword for March 8. Read more

0 fresh

SlashGear
SlashGear 2 place · 03/07/2026 22:45 EDT

3 Ways To Improve The Air Quality In Your Garage

If you're not careful, unpleasant smells or even dangerous fumes can collect in your garage. Here are some tips to keep the air in your garage clean. Read more

0 fresh

Silicon Canals
Tommy Baker @ Silicon Canals 3 place · 03/07/2026 22:31 EDT

People who seem like they don’t care what others think almost always went through a very specific period where they cared so much it nearly destroyed them. The indifference isn’t natural. It’s scar tissue that learned to look like freedom.

The people who seem most emotionally independent almost always went through a season where they cared so much it nearly destroyed them. Their indifference isn't a personality trait — it's scar tissue that learned to look like freedom. Read more

0 fresh

Digital Trends
Krittika Owary @ Digital Trends 1 place · 03/07/2026 22:12 EDT

HUAWEI Watch GT Runner 2 is the “it” Smartwatch for Marathoners

Usual smartwatches track distance, heart rates and steps but HUAWEI Watch GT Runner 2 is here to change the game. Bridging intelligence with ambition, this series of Watch GT Runner 2 is here to read the runners right through their wrist. Read more

0 fresh

Silicon Canals
Christian Kelly @ Silicon Canals · 03/07/2026 22:12 EDT

The thing about growing older without children is that you have to become your own proof that your life mattered. No one will carry your story forward automatically, so you learn to live in a way that doesn’t need a witness to feel complete.

Aging without children forces a psychologically demanding project: building a sense of meaning that doesn't rely on biological continuation. Research shows the gap isn't between parents and non-parents, but between those who actively construct purpose and those who don't. Read more

0 fresh

GSMArena.com
GSMArena.com 1 place · 03/07/2026 22:01 EDT

Weekly poll results: the Galaxy S26 and S26 Ultra have a fighting chance, the S26+ is dead in the water

The Galaxy S25 series outsold the S24 series, which in turn had outpaced the S23 series a year prior. In short, everything was going great for the S-series. But will this year end its winning streak? Last week’s poll certainly casts shadows of doubt over the success of the new trio. The Samsung Galaxy S26 family Let’s start with the Samsung Galaxy S26 Ultra, which is arguably the model that... Read more

0 fresh

Silicon Canals
Christian Kelly @ Silicon Canals · 03/07/2026 21:59 EDT

People who stay calm in emergencies and then fall apart two days later when they drop a glass aren’t unstable. Their system held the weight precisely long enough to be useful, and the glass was just the first safe moment to set it down.

People who hold it together during emergencies and break down days later over something trivial aren't unstable. Their nervous system deferred the emotional processing until it found the first safe moment to release it. Read more

0 fresh

ScienceDaily
ScienceDaily 1 place · 03/07/2026 21:53 EDT

Scrolling on your phone while sitting on the toilet might be doing more harm than you think. A new study found that people who use smartphones during bathroom visits had a 46% higher risk of hemorrhoids compared to those who don’t. Researchers discovered that phone users tend to spend significantly longer on the toilet, often getting distracted by news or social media, which may increase pressure on anal tissues. Read more

0 fresh

SlashGear
SlashGear 3 place · 03/07/2026 21:45 EDT

Experts Are Worried About The US Navy's Newest Battleship - And Here's Why

Battleships once ruled the seas, but they have since been replaced by aircraft carriers. The idea of returning to this paradigm has military experts concerned. Read more

0 fresh

Slashdot
EditorDavid @ Slashdot 2 place · 03/07/2026 21:34 EDT

Steven Spielberg + Dinosaurs + Netflix = Mixed Reviews

Steven Spielberg directed his last Jurassic Park movie nearly 30 years ago, notes ScreenRant. But the 79-year-old filmmaker now brings us The Dinosaurs, a four-part documentary on Netflix where he's executive producer: The first few reviews are in, and the results lead to a perfect 100% score on Rotten Tomatoes. It's worth noting that the rating will likely fluctuate since there are only six reviews. So far, critics all agree... Read more

0 fresh

SlashGear
SlashGear · 03/07/2026 21:30 EDT

9 Handy AutoZone Gadgets To Upgrade Your Garage

AutoZone is one of the most popular, reliable options around for finding new tools and gadgets for auto work. These ones will make your car-owning life easier. Read more

0 fresh

Habr
m0tral @ Habr 1 place · 03/07/2026 21:30 EDT

Добавляем рекавери в Xiaomi Watch S1

В умных часах Xiaomi используется весьма необычный процессор BES2500BP, о котором почти нет публичной документации. Однако разбор OTA-прошивки неожиданно показал знакомую архитектуру — внутри скрывается ядро STM32U5 с FreeRTOS. Это позволило провести полноценный реверс системы, разобраться в механизме загрузчика и диагностировать критическую проблему.В статье показаны техники, как удалось отследить падение в HardFault, понять логику загрузчика и разработать собственный механизм RecoveryЕсли вам интересен re Read more

0 fresh

TechRadar
TechRadar 1 place · 03/07/2026 21:30 EDT

Australian Grand Prix 2026 LIVE: How to watch F1 season opener, TV Channels, Live Updates

Follow our live blog of the Australian Grand Prix 2026 as we keep you up to date with how to watch the Formula 1 season opener. Read more

0 fresh

The most popular news from the same source for the last week
Tech.eu Tech.eu
Tech.eu
Tamara Djurickovic @ Tech.eu · 03/02/2026 01:14 EDT

Noxon closes seed funding round to advance muscle-computer interface technology

Munich-based medtechcompany Noxon has closed its seed funding round, led by High-Tech Gründerfonds(HTGF) and Bayern Kapital, with participation from Auxxo and anotherinstitutional investor. The size o... Read more

0

Tech.eu
Tamara Djurickovic @ Tech.eu · 03/02/2026 03:00 EDT

Outpost Bio raises $3.5M pre-seed for human microbiology models

Outpost Bio, a companyfocused on decoding complex interactions in human biology, has raised a $3.5million pre-seed round co-led by Merantix Capital and Seedcamp, withparticipation from OpenSeed VC, De... Read more

0

Tech.eu
Cate Lawrence @ Tech.eu · 03/02/2026 03:00 EDT

Building Europe’s native code infrastructure: Tangled closes $4.5M round

GitHub alternative Tangled has raised a $4.5 million funding round. The code platform offers a primary European alternative to GitHub for developers, providing an open and extensible network built fo... Read more

0

Tech.eu
Tech.eu Events @ Tech.eu · 03/02/2026 04:00 EDT

Only two days left before Early Bird ticket prices increase for the Tech.eu Summit London 2026

The Tech.eu Summit London 2026 will take place on 21–22 April at the Queen Elizabeth II Centre, convening leading voices from across the international startup and investment ecosystem. Across two days... Read more

0

Tech.eu
Tamara Djurickovic @ Tech.eu · 03/02/2026 04:30 EDT

European tech weekly recap: Over €2B invested in the tech ecosystem in the last week of February

Last week, we tracked more than 70 tech funding deals worth over €2 billion, and 5 exits, M&A transactions, rumours, and related news stories across Europe.Haberin devamını okumak için tıklayınız.... Read more

0

Tech.eu
Tamara Djurickovic @ Tech.eu · 03/02/2026 05:10 EDT

Onetag acquires Aryel to build a new programmatic ad exchange

Onetag, a global programmatic ad exchange and smart curation platform,announced the acquisition of Aryel, an Italian adtech company focused onimmersive and interactive advertising experiences.As adver... Read more

0

Tech.eu
Tamara Djurickovic @ Tech.eu · 03/02/2026 05:11 EDT

Venture Kick backs Fainite to advance physics-based simulations

Zurich-basedFainite AG has received €165,000 (CHF 150,000) from Venture Kick to advancephysics-based simulations and expand access to advanced engineering analysisacross a wider range of applications.... Read more

0

Tech.eu
John Reynolds @ Tech.eu · 03/03/2026 01:00 EDT

UK-headquartered satellite startup Open Cosmos plans European rival to Starlink

An Oxford-headquartered spacetech startup says it's gearing up to manufacture up to 200 satellites a year, as it looks to offer European governments and businesses an alternative communication channel... Read more

0

Tech.eu
Tamara Djurickovic @ Tech.eu · 03/03/2026 03:00 EDT

AI adoption reshapes female-led innovation in Europe: Female Innovation Index 2026

The newly released Female Innovation Index 2026, Europe’s largest report examining the innovation and funding pipeline driven by female entrepreneurs, shows that female founders across the regi... Read more

0

Tech.eu
Tamara Djurickovic @ Tech.eu · 03/03/2026 03:29 EDT

Flink lands $100M to advance targeted expansion

Berlin-based Flink, a quick commerce operator active in Germany and theNetherlands, has secured around $100 million in new growth capital. The roundwas led by Prosus and other existing investors, with... Read more

0

Most popular sources

  • You see 404 news out of 404.
  • Sources 61 out of 61.
The Verge 0%
Financial Times 0%
Vox 0%
Skift 0%
Inc42 Media 0%
View sources »

LIKE us on Facebook so you won't miss the most important news of the day!

08.03.2026 00:07
Last update: 00:00 EDT.
News rating updated: 07:01.

What is Times42?

Times42 brings you the most popular news from tech news portals in real-time chart.
Read about us in FAQ section.


Times42 © 2026